IMPLANT LOADING WITH AN IMMEDIATE CROWN WITHIN 1-HOUR
Implant loading with an immediate temporary crown within 1-hour case presentation



Case 1 and 2 above are patients who got tooth extraction and cylinder insertion with temporary crown within 1 hour. The temporary crown was used in these cases because it was an incisor which aesthetic condition is needed.
Patient in case 3 got root canal and dental crown treatment from another place, but the root canal got infected and cracked, so this tooth could not be retreated. Thus, the patient decided to get implant treatment instead. The treatment started with tooth extraction, then inserted cylinder with temporary crown. All of these procedures took only one dental visit to complete.
Case details of implant loading with an immediate temporary crown within 1-hour



Figure 1:
The patient came to get consulted on cracked tooth result from chewing on hard foods. First, patient got CT scan to evaluate tooth quality and jawbone, then it was found that its cracked from surface to root canal. Furthermore, it was found infection in root canal area. However, the patient had sufficient jawbone to get cylinder insertion and temporary crown at the same time.
Figure 2:
After x-ray and treatment plan, tooth was extracted. In this case, the tooth surface was cracked apart from root canal distinctively.
Figure 3:
Bone grafting in extracted tooth area, and cylinder insertion. Bone grafting supports aesthetic gum and natural looking.
Figure 4:
Temporary crown was placed. It was suggested that the patient shall not grind implant teeth for temporary as it was not 100% endurable. It takes around 2-3 months for jawbone to be healed and connected with the surface of a load-carrying implant (osteointegration).
Figure 5:
After 2 months, temporary crown was taken out and replaced by permanent crown. But, before permanent crown was replaced, scan body was attached to screw. Scan body detected the position of implant through digital scanner called intraoral scanner, then the information was sent to the lab to make permanent crown.
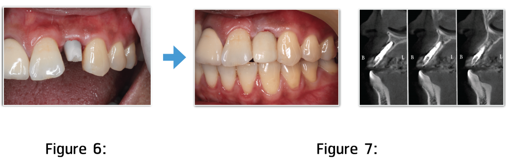
Figure 6:
Permanent crown takes 5 to 7 lab days. In this case, crown was made from monolithic zirconia material which was durable. Before permanent crown is placed, abutment will be placed first as it is used for screw and crown attachment. In this case, abutment was made from zirconia coping material.
Figure 7:
After placing abutment, resin cement will be used to attach with crown. If we see from CT Scan, we will find that implant is in the right position and is related with jawbone position.
This can be concluded that dental implant placement of this case has 3 main procedures as follows;
1st dental visit: Consultation for treatment plan, CT Scan, tooth extraction, and cylinder insertion with temporary crown which take approximately 1 hour in total.
2nd dental visit: Recovering for 2 months after the first appointment, then scan tooth to make permanent crown.
3rd dental visit: Permanent crown placement
In this case, patient can have temporary crown done in 1 hour, and the complete version of permanent crown within only 3 times visit.
Content by Dr.Manapat Thaveeprungsiporn




